インティマレーザー(尿漏れ・膣の引き締め・外陰部の黒ずみ) インティマレーザー(尿漏れ・膣の引き締め・外陰部の黒ずみ)

インティマレーザー(尿漏れ・膣の引き締め・外陰部の黒ずみ)

FDA認可の安心レーザーで、尿漏れ・デリケートゾーンをケア

治療の概要
  • FDA認可の安心レーザーで、尿漏れ・デリケートゾーンをケア

    インティマレーザーは、ヨーロッパの老舗レーザーメーカーFOTONA社のEr:YAGレーザー治療機器で、「尿漏れ治療」の臨床効果が高いことが唯一世界で認められているデリケートゾーン専用のレーザーです。尿漏れ治療の他にも、膣内の引き締め治療や、老化でカサカサになっていく膣内の潤いを改善し、乾燥やかゆみを軽快に改善し、日々の不快から快適な生活に導いていきます。   ヨーロッパでは、世界初の認証を取得したデリケートゾーン専用レーザーで知られ、高い安全性が認められています。FDAや欧州CEで認可を取得、カナダでも、業界初の革新的な膣内治療を可能にするレーザーとして認められ、世界50か国に導入、10万人以上が治療を受けています。膣内治療マシンは他にもありますが、インティマレーザー(Vタイトニング)は、膣上皮の治療だけではなく、粘膜表面を傷つけずに痛みを最小限に抑えながら、深部にまで熱を照射することができる「唯一の膣内治療」なのです!

デリケートゾーンのお悩み

  • 尿漏れが気になる

  • 加齢や出産で膣が緩んできた

  • 性交痛がある

  • 膣内が乾燥している

  • 入浴時に膣にお湯が入る

  • 膣に空気が入っているような気がする

  • デリケートゾーンのニオイが気になる

  • 子宮脱(子宮下垂)を改善したい

  • タンポンから経血が漏れる

  • 脱毛したら黒ずみが気になり始めた

  • 外陰部が人より黒ずんでいる気がする

悩んでいる女性看護師の写真 悩んでいる女性看護師の写真

インティマレーザーの効果

  • 尿漏れ

  • 膣の引き締め・縮小

  • 性交痛

  • 膣の乾燥

  • 膣のかゆみ

  • 子宮脱(子宮下垂)

施術の経過について

Dr.Yoshimi

case.01

20代女性の方

以前からレーザー施術にご興味をお持ちで、これまでにも脱毛レーザーやスキンケアレーザーをご経験されていた方でした。気になっていたおりものや性交痛についてご相談があり、レーザー施術で膣のスキンケアができるとお気づきになり、当院にご来院されました。

施術後、当日から膣の引き締まりをご実感され、その後気になっていたおりものも解消されたと後日のカウンセリングで伺いました。脱毛やスキンケアのレーザーに比べて痛みが少ないことにも大変驚かれていました。

Dr.Yoshimi

case.02

40代女性の方

尿漏れと膣のアンチエイジングのご相談でご来院されました。
施術を受けるまでご不安があったようですが、施術中の看護師の声かけなどで緊張がほぐれ、安心して施術を受けられたというご感想をいただきました。

痛みについてはほぼ無痛だったようで、施術後から笑ったり、力を入れた時の尿漏れが解消されたと後日のカウンセリングで伺いました。
今後も継続してみて、効果の持続を実感したいと仰っていただいております。

インティマレーザー(尿漏れ・膣の引き締め・外陰部の黒ずみ)の特徴

インティマレーザーは、膣全周囲に満遍なくレーザーを照射することで、膣壁を収縮させていくエイジングケア治療です。創傷治癒作用も加わることで、施術後はコラーゲン産生が促進されて膣壁に厚みを出すため、膣のタイトニング(引き締め)効果が期待できます。一般的な膣内治療で使用されている既存の炭酸ガスレーザー等とは異なり、インティマレーザーは粘膜の深層から浅い層までをじっくりと加熱していくため、膣奥から膣口までをしっかりと照射し、タイトニング効果を発揮していきます。既存のレーザーは、膣口付近の照射が中心なので、膣奥までしっかりと360°照射できるのも大きな特徴の一つです。

また、水分に吸収される特徴(既存のレーザーに比べて10倍高い)を持つ蓄熱式レーザー、エルビウムヤグレーザーを搭載したインティマレーザーは「スムースモード※」というfotona社独自の技術を搭載することで、膣粘膜への刺激を最小限にしながら粘膜の奥深くまで熱を加えることが可能となりました。そのため、膣内の引き締まりやタイトニング効果をより実感しやすくなっています。

※スムースモード
粘膜の表面を削らずに、膣表層から必要な深さまでまんべんなく熱を与えることができる機能です。強力なタイトニング効果と血流改善により組織再生を促していきます。

さらに、インティマレーザーは、Iライン(大陰唇・小陰唇)の黒ずみ治療にも使用します。皮膚・粘膜の表面を削るアブレーションモードで施術を行います。小陰唇の治療は医師が行います。インティマレーザーの特性を深く理解した熟練の医師が肌の状態に合わせた最適な照射モードで、痛みを軽減しながら施術を行います。

インティマレーザー(尿漏れ・膣の引き締め・外陰部の黒ずみ)の特徴インティマレーザー(尿漏れ・膣の引き締め・外陰部の黒ずみ)の特徴
専用のアプリケーター

尿漏れ、膣のタイトニング(引き締め)のお悩みによって、専用のアプリケーターを使用してレーザー照射を行います。熱に敏感な膣口付近には麻酔クリームを使用して治療を行うため、痛みがご不安な方でも安心して治療を受けられます。なお、専用のアプリケーターは使い捨てになりますのでご安心ください。

シロノクリニックWOMANだからできる治療

出産やエイジングによる膣のゆるみや尿漏れのデリケートなお悩みは、誰の身の上にも起こる現象です。身近ではなかなか相談しづらい悩みでもあり、近所の医療機関も然り、人に言えず躊躇う方が多くいらっしゃいます。レーザー治療、エイジングケアの専門クリニックであるシロノクリニックがプロデュースする「シロノクリニックWOMAN」では、女性特有の老化現象を研究し、予防から原因の診断を行います。ライフスタイルの中心となる全身のヘルスケアをサポートし、デリケートゾーンに特化した診療を提供いたします。シロノクリニックWOMANでは、お話しを伺うことからが治療のスタートだと考えております。遠慮なく医師にご相談ください。

インティマレーザー(尿漏れ・膣の引き締め・外陰部の黒ずみ)の作用

症状に合わせてアプリケーターを使い分け施術いたします

打ち漏れなくスピード照射が可能な
新型ロボテックアームGランナーを搭載!

シロノクリニックWOMANのインティマレーザーは、「Gライナー」という自動操縦ロボテックアーム(オートマティックアーム)を搭載しています。

新型ロボテックアームGランナー

最大の特徴は、照射漏れを防ぐことができる点です。既存のインティマレーザ―は「手動」で回転させるため、施術者の技術力や経験値では打ち漏れなどが生じてしまいます。そのため、シロノクリニックWOMANでは、ロボテックアーム「Gライナー」を導入し、自動操縦で回転しながら、打ち漏れなく膣奥部から入口までを照射できるため、時間を短縮させて、且つ治療精度を高めることができます。また、自動操縦のため、治療時の患者様の違和感や不快感が少ない点もメリットです。

尿漏れ治療(Uタイトニング)

尿漏れ専用のアプリケーターをセットし、膣内から膣壁前部分(膀胱側)に照射を行います。尿道側の膣壁に厚みが増すことで、尿道の引き締め・尿漏れ改善に期待できます。
軽度及び中等度の腹圧性尿失禁に最も効果的と言われています。
尿漏れは、出産・加齢をきっかけとして骨盤底筋群の筋肉のゆるみ、女性ホルモンの分泌低下、コラーゲン減少による血流の低下により引き起こします。痛みやダウンタイムも殆どありませんので、日々の不快を改善し、生活のストレスを解消します。尿漏れ治療もGランナーで施術するため、不快感なくお受けいただけます。1か月おき、3回程度で膣内や尿道が徐々に引き締まっていきます。
1回でも尿漏れの改善を感じる方の声が多いのが特徴的な治療ですが、お勧めは5回コースです。コース終了後は、月に1回のメンテナンスを2〜3か月継続し、以降は3か月〜半年に1回で様子を見ます。最終的には、年に1〜2回の継続治療で快適にお過ごしいただけます。

麻酔塗布後、膣内にガラス管のアプリケーターを挿入し、
膣壁の前部分(膀胱側)にレーザーを照射します。

麻酔塗布後、膣内に
ガラス管のアプリケーターを挿入し、
膣壁の前部分(膀胱側)に
レーザーを照射します。

<治療後の尿道の変化>

治療後の尿道の変化

尿道側の膣壁を集中的に照射することで、
膀胱のゆるみを改善していきます。

膣壁に集中照射

GSM/閉経関連性器尿路症候群(萎縮性膣炎)

GSM/閉経関連性器尿路症候群(萎縮性膣炎)は、閉経後の女性に多くみられる症状で、陰部の痒みや乾燥、性交痛、尿漏れなどの症状を言います。ホルモンバランスの変化が関係していると言われており、ホルモン治療や潤滑剤の塗布を案内されることが多くみられます。ただし、ホルモン治療は乳がんなどの副作用の問題もあるため、インティマレーザーでの治療は安全性も高く、効果的と言えるのです。

Uタイトニング
(尿漏れ)の流れ約35分

約35分

Uタイトニング(尿漏れ)の流れ

膣の引き締め治療(Vタイトニング)

膣全周囲の粘膜に満遍なくインティマレーザーを照射することで、膣壁を収縮させていきます。加熱効果による創傷治癒作用によって、コラーゲン形成を刺激して産生を促すため、膣壁に厚みが生じ、膣のタイトニング効果が期待できます。膣口付近の照射が中心だった既存のレーザーとは一線を画し、インティマレーザーは膣奥から膣口までを満遍なく照射するため、膣の入り口から奥までをしっかりと引き締めることが可能です。1か月おき、3〜5回程度で膣内が引き締まっていきます。
※1回でも尿漏れ改善を感じる方の声が多い

麻酔塗布後、膣内にガラス管のアプリケーターを挿入し、
膣内を360度照射をしていきます。

麻酔塗布後、膣内に
ガラス管のアプリケーターを挿入し、
膣内を360度照射をしていきます。

<治療後の膣壁の変化>

治療後の膣壁の変化

照射前

照射後

細胞のコラーゲン産生が促され、
膣壁に厚みが生じて
膣のゆるみを改善していきます。

細胞のコラーゲン産生が促され、
膣壁に厚みが生じて膣のゆるみを改善していきます。

照射前

照射後

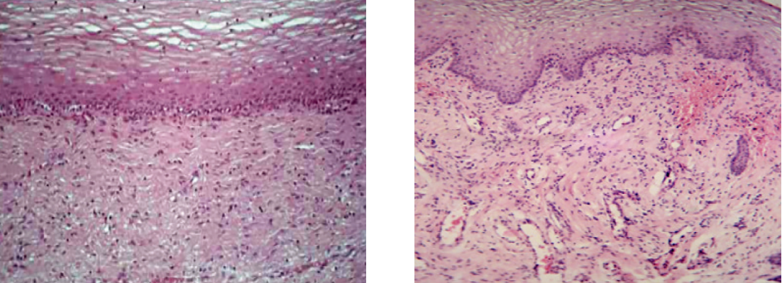
<治療後の膣粘膜の変化>

治療後の膣粘膜の変化

照射前

6か月後

Vタイトニング
(膣の引き締め)の流れ約30分

約30分

Vタイトニング(膣の引き締め)の流れ

加齢による膣内の変化

膣のイラスト

骨盤底筋には、尿道口、膣口、肛門の3つの穴があります。その中でも膣が一番ゆるみやすく、若い頃はキュッと引き締まっていても加齢とともに緩んでいきます。加齢による女性ホルモンの減少は、肌の老化だけでなく、膣の老化にも直結します。エストロゲンが減少することでコラーゲンが作られなくなり、肌の老化と同様に膣壁が薄くなっていき、膣の弾力が失われて緩みが広がっていきます。
また、閉経以降は、エストロゲンの減少が顕著に現れ、膣や外陰部が乾燥して、かゆみ、ひりつき、軽度の出血、不快な臭いなどを伴って、萎縮性膣炎や萎縮性外陰炎といった炎症を引き起こしてしまいます。
若い方でも、経膣出産、生活習慣が影響します。経膣出産では膣口が伸びてゆるんだ状態になり、生活習慣では姿勢が悪いと骨盤底筋の緩みから膣も一緒に緩んでしまいます。

膣内の変化

臓器脱や子宮脱(子宮下垂)
子宮下垂

骨盤底の筋肉や靭帯がゆるむことで生じる膀胱や子宮、直腸などが下垂する症状を言います。

子宮脱の場合は、自覚症状として、膣内にピンポン玉のようなものがある感じがする、膣の間に何かが挟まっている感じがする、といった違和感を感じます。トイレが近く、尿が出にくくなるなどの症状が生じます。重度になると、子宮が膣外に飛び出てしまい、歩行に支障が出たり、出血したりする場合もあります。そのままの状態で放置していると改善しないため、手術やペッサリー挿入などの治療が行われています。
シロノクリニックWOMANでは、インティマレーザーを使用して症状を改善させていきます。欧米では一般的に行われているレーザー治療です。また、レーザー治療であれば、ダウンタイムや痛みが少なく、身体に負担がかかりません。ただし、手術とは異なるため、複数回のレーザー照射が必要です。安全に、じっくり改善していきたい方にお勧めの治療法です。

外陰部の黒ずみ治療(Vホワイトニング)

美白クリームとは一線を画すレーザートリートメント

デリケートゾーンは、下着などの摩擦による色素沈着がよく言われますが、妊娠・出産などでホルモンバランスが乱れることでも外陰部に黒ずみが生じます。一般的には、ハイドロキノンやトレチノインなどの塗り薬やピーリングが中心でしたが、レーザー治療で改善する時代に進化しました。

ダウンタイムはほぼ無く、少ない回数で改善できるインティマレーザーで、外陰部の黒ずみ改善が可能です。セルフケアで改善することが難しいため、深刻化しないように、早めにレーザーによるホワイトニング治療をお勧めします。

通常の肌に使われる通常のレーザーは、メラニンのみに選択的に反応して色素を破壊してしみを改善しますが、インティマレーザーに搭載されるエルビウム・ヤグレーザーは、蒸散型(アブレイティブ)のレーザーによって表皮のごく薄い皮膚層を削り取るため、粘膜などに照射を行っても出血や痛みはほぼ無く、照射した部位の外陰部の黒ずみだけを除去することができます。特に、小陰唇の施術は細かい技術を要すため、インティマレーザーの特性を深く理解した熟練の医師が、肌の状態に合わせた最適な照射モードで痛みを軽減しながら施術を行います。

また、インティマレーザーは、色抜けによる色むらが生じることなく、均一な色調で全体的に少しずつ薄くなってゆくため、仕上がりがとても自然です。

なお、デリケートゾーンの黒ずみ症状には個人差があるため、お顔のしみ・くすみなどの色素沈着よりも色味が濃いケースが多く、たった1回の施術で改善することはありません。少ない回数ではありますが、数回の通院が必要な治療です。

施術部位

照射時間は10分程度で、ダウンタイムも副作用もほぼありません

インティマレーザーによる黒ずみ治療は、メスを使わずに手術を伴わないため、術後から日常生活を送ることができます。施術直後に、一時的な傷み、赤みやむくみが生じることがあります。まれに少量の出血や滲出液(しんしゅつえき)が続くことがあります。なお、照射部位が乾燥しやすくなっているため、施術後の数日は、保湿を行うなど皮膚をケアしてください。

Vホワイトニング
(外陰部の黒ずみ治療)の流れ約15分

約20分

Vホワイトニング(外陰部の黒ずみ治療)の流れ
医師施術
Vホワイトニング
(外陰部の黒ずみ治療)の流れ約20分

約20分

医師施術 Vホワイトニング(外陰部の黒ずみ治療)の流れ
美白クリームの併用も有効的
美白クリーム

施術後も予防も、シロノクリニックオリジナルの医療用美白クリーム「ハイドロキノン」でセルフケア。

純ハイドロキノン配合の美白外用剤「ハイドロキノン」は、お顔だけではなくデリケートゾーンや乳輪の黒ずみ改善にも有効です。外陰部の黒ずみの原因となるメラニンに作用します。皮脂膜に近いエモリエント成分の配合により、伸びが良く、塗りやすいなめらかなテクスチャーです。刺激も少ないため、レーザー治療後に塗布することが可能です。副作用も少なく、自宅にいながら安心してセルフケアできます。

Pure HQ3(ハイドロキノン3%配合)1本 3g
3,300円

治療の流れ

  • 診察

    STEP 1: 診察

    医師がお悩みをじっくり伺います。ライフスタイルに合わせた治療回数を提案いたします。

  • 麻酔

    STEP 2: 麻酔

    膣の入り口付近は熱に敏感なため、治療前にしっかり麻酔クリームを塗布します。

  • 治療

    STEP 3: 治療

    ガラス管の使い捨てアプリケーターを膣内に挿入します。症状に応じて、尿漏れ専用のレーザー、膣のタイトニング(引き締め)専用のレーザーで、膣内を360°満遍なく照射していきます。外陰部の黒ずみ治療の場合は、同じく専用のレーザーで照射していきます。

  • 次回予約

    STEP 4: 次回予約

    アフターケアや術後の経過についてご説明いたします。必要に応じて、次回治療の予約をお取りします。

治療費

尿漏れ・膣のたるみ引き締め治療
(Uタイトニング)
・1回132,000円
・3回コース336,600円
・5回コース528,000円
・カテーテル有り 1回165,000円
・カテーテル有り 5回コース660,000円
膣のたるみ引き締め治療
(Vタイトニング)
初回治療(麻酔代込み)66,000円
・1回88,000円
・3回コース224,400円
・5回コース352,000円
大陰唇の黒ずみ治療
(Vホワイトニング)
初回治療(麻酔代込み)33,000円
・1回55,000円
・3回コース140,250円
・5回コース220,000円
小陰唇の黒ずみ治療
(Vホワイトニング)
・1回88,000円
・3回コース224,400円
乳輪
初回治療33,000円
・1回55,000円
・3回コース140,250円
★コンビネーション治療
膣の引き締め治療(Vタイトニング)+
大陰唇の黒ずみ治療 (Vホワイトニング)
・初回治療(麻酔代込み)99,000円
・1回110,000円
・3回コース280,500円
・5回コース440,000円

※価格は全て税込になります。

治療の概要

治療時間

20分~30分程度

ダウンタイム

3日程度 ※ダウンタイム中は、性行為、タンポンの挿入は控えてください ※外陰部の黒ずみ治療は、24時間程度、ほてり感、赤みが出ることがあります

注意事項

医師の診断により適応できない場合があります

禁忌事項

  • ・光過敏症・光アレルギー
  • ・てんかん
  • ・局所麻酔アレルギー など
  • ・性器ヘルペス
  • ・カンジタ膣炎その他感染症
  • ・妊娠中、授乳中の方
  • ・産後1か月で性交渉の許可が出ていない方

副作用・リスク

・尿漏れ、膣の引き締め治療
一時的におりものが増える、微量の出血があるなどの症状が生じる場合があります。
おりものシートや生理用ナプキンの使用をお勧めします。この他、患部の浮腫みや鈍い感覚などを感じる場合も、いずれも数時間から数日で消退します。


・外陰部の黒ずみ治療
施術後にほてり感、赤み・むくみが出る場合があります。また、まれに少量の出血や滲出液が続くことがあります。



年齢、性別、人種、部位、皮膚の状態によっても、それぞれの効果の発現性や副反応が異なり、同じ治療をしても、治る時間や過程、反応の程度、合併症のありかたなどが異なります。治療後の平均的な治り方や合併症の発生などの説明を受ける必要があります。

よくあるご質問

  • 治療前後の注意点を教えてください。

    当日はシャワー浴が可能です。入浴、飲酒は翌日まで控えてください。1週間程度はおりものの量が増えることがあります。
    性行為、タンポンの使用は3日間控えてください。
    小陰唇の黒ずみ治療では、粘膜と皮膚をごく薄く削ることで若干の出血や滲出液(しんしゅつえき)がにじみだすことがあるので、ナプキンを数日あてることをお勧めします。

  • 生理中でも治療できますか?

    インティマレーザーは水分に反応するため、生理中は治療できません。

  • 痛いですか?

    膣の入り口は痛みに敏感なため、麻酔クリームを塗り治療を行います。
    また、膣の奥は痛みを感じにくく、軽い熱感やレーザーの振動を感じる程度です。
    外陰部の黒ずみ治療は、若干のヒリつき感がありますが、数日以内に新しい皮膚が再生し、表面の症状は落ち着きます。

  • 保険適用はありますか?

    保険の適用はありません。自費診療となりますので、予めご了承ください。

  • 治療は1回で終わりますか?

    1クール5回の治療を推奨しております。
    月に1回の治療を5回繰り返していただき、その後は2,3か月に1回の治療を行い、その後は半年に1回、最終的には、年に1~2回継続していただくことで快適にお過ごしいただけます。
    外陰部の黒ずみ治療は、お顔のしみ・くすみなどの色素沈着よりも色味が濃いケースが多く、5回~10回の治療をお勧めしています。

  • 効果はどれくらい持続しますか?

    治療後改善が見えてから約1~2年が目安となります。治療後2年が経過すると、筋肉が弱まっていくため、2年に1度の治療が効果を持続させるコツになります。
    外陰部の黒ずみ治療は再発を予防するために、アフターケアの美白クリーム(ハイドロキノン)の外用と、できれば美白作用のある内服薬を継続されることをお勧めします。

  • 施術後の性交渉はいつからできますか?

    3日後から可能です。
    大陰唇の黒ずみ治療は皮ムケや軽度の炎症が生じますので、施術後1週間は控えるべきと考えますが、炎症が落ち着いていれば照射3日後から可能です。

  • 大陰唇の黒ずみ治療後、VIO脱毛はいつから可能ですか?

    肌の状態によりますが、2週目以降からVIO脱毛のレーザーを照射することが可能です。

  • ハイドロキノンアレルギーがあります。他の外用薬はありますか?

    「シスペラ」という美白クリームのご用意もございます。
    詳しくはこちらのページをご覧ください。

監修医師

副院長 佐藤 美

女性のお悩みはお一人おひとり異なります。だからこそ、ゆっくりお話を伺いながら診察させていただいております。どんな些細なことでも、医師に相談することでご安心いただけるように環境をご用意いたしました。エイジンングケアを中心に、薄毛・抜け毛のお悩みからデリケートゾーンのお悩みまで、快適にお過ごしいただけるようサポートいたします。また、その後のケアも含めて、患者さまとご一緒にQOLの向上へと伴走させていただきます。いつでもお気軽にご相談ください。

シロノクリニック恵比寿本院 副院長 佐藤 美 / Yoshimi Sato

経歴

杏林大学医学部卒業
杏林大学病院形成外科勤務
都内美容皮膚科勤務
シロノクリニック入職
シロノクリニック横浜院 院長就任
都内美容外科兼務
シロノクリニック恵比寿本院 副院長就任
-------------------------------------------------
シロノクリニック医師の技術指導を担当


所属学会・資格

・日本美容皮膚科学会

・サーマクール認定医
・ウルセラ認定医

副院長 佐藤 美

安心サポート

  • トータルサポート制度

    トータルサポート制度

    薄毛治療・女性器のお悩みの他、しみ・しわ・ほくろ・にきび・にきび跡・ダイエットなど気になるお悩みをシロノクリニック全院がサポートいたします。お気軽にご相談ください。

  • プライバシーへの配慮

    プライバシーへの配慮

    シロノクリニック WOMANは完全予約制となっており、受付後すぐに治療室へご案内いたします。また、治療は完全個室で行います。患者さまが安心してサービスをご利用いただけるよう患者さまのプライバシーを遵守いたします。

  • セクシャルマイノリティへの取り組み

    セクシャルマイノリティへの
    取り組み

    シロノクリニック WOMANでは、来院が心配な方などセクシャルマイノリティにも安心してご来院いただけるように、柔軟な対応と環境づくりに取り組んでいます。

    • 秘密厳守を徹底します
    • 必要以上の質問はいたしません
    • ご家族さま、ご友人さま同伴でのご来院も可能です

  • 各種優待

    各種優待

    LINEお友だち優待、ポイントシステム、シニア優待、学生優待、医療従事者優待、バースデー優待、駐車券のサービスなど各種優待をご用意しております。詳しくはスタッフまでお訪ねください。